
Not everyone knows what osteoarthritis is, this makes people confuse in treatment methods and do not understand the principles of diagnosing pathology.Arthrosis is a serious dystrophic injury that causes the lesion of cartilage tissue in the intra -articular cave.The complexity of the therapy is associated with the irreversibility of processes, complete healing in the context of modern medicine cannot be achieved, but the severity of the symptoms can be reduced and the progression of the pathology is slowed down.With the right treatment, one person continues the usual lifestyle for a long time.
What is osteoarthritis?
Similarly, it is easier for the disease to be an illness of the joints that causes the amplitude of movement and pain to be restricted.There are no manifestations in the first phase of the damage, have slight severity and are washed off.The pathology is gradually progressing, this is made easier by age changes in the body, stress, injuries, etc. in accordance with statistics, about 80% of the population over 60 years from arthrosis.
The osteoarthritis of the joint develops for a long time, initially only affects the hyalink norp and then spreads to the bones, the synovial bowl, the muscles and the entire joint capsule, contains.In the first or early stage of arthrosis, the lesion easily manifests itself: small pain after hard work, swelling, redness of the skin.Due to the ignoring, unpleasant sensations are deformed, inflamed, and brings severe pain, its climax falls in the morning.The disease is characterized by the disappearance of pain after the development of the joint.If not treated, one person completely loses the mobility of the joint.

There is a primary and secondary form of osteoarthritis.Pseudo-arthrosis (neoartrose) will also differentiate- not many people know what it is because it is formed less often than other varieties.Neoarthrosis is a false joint, so the cartilage tissue increases in an unusual place where damage has been preserved.It is difficult to treat, mainly surgical.
There is a pathology due to disorders of regenerative function, immunity or mechanical damage.Due to various cartilage causes, it gets thinner.In normal condition, the cartilage tissue receives a sufficient diet for recovery, but after excessive physical exertion or due to a violation of metabolic processes, the substances have no time to regenerate.The common mobility remains in the first phase.After she has considered what arthrosis a definition is, it is worth deepening the development of the pathology in more detail.
The development mechanism of arthrosis, its types
Many types of arthrosis develop according to a similar scheme:
- The primary lesion affects the hyaline cartilage.In the case of circulatory disorders, there is a deterioration in the pathological force.It is the first step or the first cause that arthrosis can occur.
- Hyalin coating pathologies.The thinning of the cartilage leads to the replacement of its pathological tissue - bone structures.
- Anomal growth appear on cartilage - osteophytes.
- The occurring violation of the natural anatomy of the cartilage and bones leads to the overload of healthy cartilage areas.The destruction of joint tissues without treatment continues to lead and leads to disabilities.
If the degree of illness increases, pathological processes are still worse.In the end, the entire hyalink norp is destroyed.
The last degree of the disease leads:
- Participation in the pathological bone process under and over the cartilaginous surfaces;
- Reviation of a joint shell, limited mobility that leads to a disability of 2 degrees;
- Increased capseldic density;
- Reduction of the gap in the gap of the joint, which can be felt in the picture.The stage of the violation is determined by the diagnostic anxietyologist.The patient feels the complexity or inability to completely straighten and bend the limb.
- Joint deformation, cartilage receives an irregular shape that provokes the curvature;
- Determination in the state of the patient with complete destruction of the joint.
Arthrosis stadiums
Joint diseases have 3 development levels:

- 1 degree.Morphological disorders have already started, but are not yet striking.The pathology mainly influences the condition of the synovial fluid, which delivers poorer cartilage tissue with nutrient components and reduces the strength of the cartilage.The stress on the joints leads to inflammation and pain.
- Level 2. Due to the lack of pension, the necessary cartridges are destroyed.Bone growth is formed on the surface of the cartilage.The pain acquired a more pronounced character, reinforce themselves after a long break and are eliminated by small physical work.Pain is accompanied by inflammation.The muscles are stretched, which leads to weak or average impairments of the motor functions.
- 3 degrees.There is often pain, it is difficult to move the limb due to changes in the joint.The lesions are extensive and are noticeable for the bare look.The deformation of the joint position occurs, the affected area swells and becomes red.The limb axis is disturbed, which leads to the complexity of the movement.The ligaments produce pathological changes.Subbluishes and contractures appear.The adjacent muscles are shortened or stretched from which the contractile function is weakened.
Causes and risk factors for the development of osteoarthritis
The causes of the arthrosis of the joints differ depending on the form of pathology.The deformation of the osteoarthritis of the elbow joint, ankle joint and shoulder arthrosis sometimes develops without noticeable causes.It is possible to recognize you with a doctor, a specialist in rheumatology.If the problem preceded the problem, the disease is described as primary.The secondary form of violation is mainly diagnosed and can provoke different states.
The main reasons for the development:
- Mechanical damage: transfers, fractures, stretching, meniscus injuries;
- a number of endocrine disorders in connection with malfunctions in the work of immunity;
- Metabolism pathologies;
- Dysplasia (congenital anomalies of joint fabrics);
- suffered inflammation of the joints;
- Pathologies that lead to a high mobility of the joints and the weakening of the ligaments.
Patients with osteoarthritis most often came across an illness due to predisposing factors:
- Age -related changes;
- Light weight and increased BMI.High load on the joint leads to quick joint wear;
- Lack of advantageous substances;
- Excessive stress on the joints.The reason is intensive training, sport, hard physical work;
- Difficult working conditions or a wrong approach for sport.If there is a genetic tendency towards damage, joint injuries or similar diseases, it is important to keep a special training program and avoid traumatic and difficult exercises.
- The postoperative recovery period or transmitted complex operations in connection with the excision of a large proportion of affected substances.Such conditions negatively influence the smoothness and strength of the cartilage, the load should be minimized on them.
- Genetic tendency, osteoarthritis are more often diagnosed in patients with relatives with the same pathology.
- The stage of postmenopause, which has been taking place in women for about 50 years, is associated with changes in the endocrine system.
- The destructive effect of toxins;
- bad environmental situation in the region of the residence;
- Frequent damage to the connection, sometimes microrises do not appear for a long time.
- Settlement;
- Pathology of the lumbar and cervix part of the spine.
Primary osteoarthritis

Primary arthrosis is formed independently, i.e. without the influence of internal or external causes.The defeat develops quite slowly through the hyalink cartilage.It is rarely diagnosed, it only makes up 3-5% of all cases.
Secondary arthrosis
Secondary arthrosis is most commonly found in an order of 95-96% of the cases.They are provoked by one of the above pathologies.
Signs and symptoms of osteoarthritis
Depending on the localization, the manifestations of the disease hardly differ, more frequently the signs are reflected on the knee, shoulder and hip joints due to a high load.
Mostly complaints arise:
- Pain.They have a low heaviness in the initial phase, with the state of sensation intensified.At first the joints hurt only after waking up after a slight warm up had disappeared.Over time, the pain appears at night, they disturb during and after walking for a long time, running etc. In the last stage, pain syndrome follows a person all the time;
- limited amplitude of movements.The stiffness of the effects indicates anatomical changes in the structure.First it manifests itself in the morning, then the daily movements are limited.In order not to tighten the disease, the work must be diverse and light, otherwise the patient cannot decrypt and press the limb over time.Over time, there is a risk of a contract from which one person loses the motor ability.
- Crown in movements - it is one of the non -specific manifestations of osteoarthritis.The disease is characterized by the occurrence of crunch in a single joint (with the exception of polyarthrosis), accompanied by symptoms, pain and limited effects.The nature of the electricity is wavy - at first it manifests itself weak, gradually increases, but disappears in 3 stadiums;
- Swelling with redness.It is localized near the diseased joint.This indicates an inflammatory process and the progression of the disease.The doctor understands that the synovial bowl is affected and causes the accumulation of liquid and increased pain.
Limited limbs.If appears in a neglected form of the disease, the complete destruction of cartilage tissue and the occurrence of osteophytes indicate.In this state, the pressure increases on the joints at the top and below, from which the curvature can affect the entire link.
It is important to remember that the deformation of the bones on the leg is often confused with the corn.At first glance, the symptom is poorly dangerous, but leads to serious consequences.
Complications
First of all, conservative therapy methods are used for treatment.If you are ineffective or the patient ignores the doctor's recommendations, there is a risk of consequences.
Possible complications:
- The joint is completely destroyed;
- The limb is immobilized, all movements are extremely difficult;
- Intermediate vertebrae;
- Disability;
- Strong deformation of the joint or the entire limb.
Diagnosis of osteoarthritis
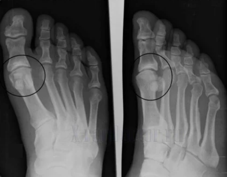
To make a diagnosis, rheumatologists examine the patient's symptoms and prescribe an X -Ray examination.Most of the time, radiography is used in 2 projections.The doctor examines the presence of dystrophic disorders in hyaline cartilage and bone joints.When the joint column is reduced, the bones are deformed or flattened, there are cystic formations on the surface of the cartilage, osteophytes are obvious signs of osteoarthritis.During inspection, arthrosis shows the instability of the joint: the axis of the limbs and subluxation is disturbed.

Often an X -Ray image is unable to provide complete information about the condition of the joint.Computer tomography is prescribed for a more thorough study and it is effective to examine bones.MRI is used more often to examine soft tissue.
During the diagnosis, the participation of other specialists is practiced who help to determine the basic cause of the pathology.Often use the consultation of a hematologist, endocrinologist, gynecologists, orthopedics.
Modern treatment
There are hundreds of arthrosis therapy, but everyone is due to a number of methods:
- Drug treatment.The main task is to combat the symptoms and prevent the further development of a violation.In most cases, analgesics are used to relieve pain, non -steroid antoiding medication to combat inflammation, hormonal medication for severe pain and acute inflammation.Each course is based on chondroprotectors that protect cartilage tissue from destruction.Natural substances are used for their production.
- Physiotherapy.Improves the effectiveness of drugs, struggles with inflammation, relieves symptoms, accelerates the regeneration of the tissue.Most frequently used ultrasound, electrical, magnetic laser therapy.This also includes mud baths, applications with natural materials, radon baths;
- Medical physical education.It is useful both as a prevention and the relief of the condition.After the right physical exercises, it is possible to completely eliminate the pain.It is useful to visit the pool, deal with yoga and go often.
- Manual therapy, massage helps with the treatment of the disease because they help to prevent the curvature of the joints.After injuries, the manual therapist is able to suspend the joint and prevent its fixation in the wrong position.After the massage, the muscle tone is improved, the blood circulation is accelerated.
- Real nutrition.A healthy diet helps enrich the body with nutrients for cartilage and reduce body weight.A large mass increases the wear of the joints;
- The treatment of sanatorium resort will strengthen the joints.As part of the healing, sanatories are offered balneotherapy, training therapy, physiotherapy methods, etc.;
- Non -traditional therapy.To treat arthrosis, huts, natural, aph and herbal medicine as well as acupuncture and various referendums are used;
- Surgical intervention is the only way to return to the usual life in the third stage of the disease.With the endoprosthetics you can replace the patient cartilage with the implant.The only disadvantage of the company is the high costs.A procedure is sufficient for 15 to 20 years.
Preventive measures
So that the arthrosis of the joint does not bother itself in old age:
- maintain a healthy lifestyle;
- prevent strong loads;
- observe a diet;
- Exclude bad habits;
- Perform gymnastics every day;
- Follow the weight.
Arthrosis is a dangerous disease that is much easier to prevent than healing.With the timely search for a doctor and compliance with the treatment rules, the patient can maintain a familiar lifestyle for a long time.The lack of therapy and self -medication provokes the rapid deterioration of the disease and ultimately disability.

























